
Coronal Slice showing a complete Maxillary Sinus Bony Septum

Axial Slice showing a Maxillary Sinus Bony Septum

Multiple Mental Foramina - important for surgeries planned in the region, either for dental implants, impacted teeth or periodontal issues

Normal unrestricted/patent Upper Airway with no breathing issues

Severely restricted Upper Airway with severe snoring and breathing issues during sleep
_8-a3e2b9e.jpg/:/cr=t:1.1%25,l:0%25,w:100%25,h:97.79%25/rs=w:600,h:600,cg:true)
3D Anterior view of the Maxillofacial Skeleton
_9-2ca6cc0.jpg/:/cr=t:3.42%25,l:0%25,w:100%25,h:93.16%25/rs=w:600,h:600,cg:true)
3D Side view of the Maxillofacial Skeleton

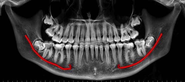
CBCT derived Grey-scale Panoramic view (OPG) of the Jaws
_3-1173993.jpg/:/cr=t:0%25,l:0%25,w:100%25,h:100%25/rs=w:600,cg:true)
CBCT derived Panoramic view (OPG) of the Jaws
_2-ebc7f9c.jpg/:/cr=t:0%25,l:0%25,w:100%25,h:100%25/rs=w:600,cg:true)
CBCT derived Osseous Panoramic view (OPG) of the Jaws